- HOME>
- 肝臓の病気
肝臓について
肝臓
肝臓はお腹の上の方、横隔膜のすぐ下の真ん中から右側にかけて存在します。重さは1,000〜1,200gで、人体で最大の臓器です。
肝臓の構成
肝臓を構成する主な細胞は肝細胞、胆管細胞です。肝細胞は代謝・解毒・胆汁の生成を行います。胆管細胞は胆管を形作り、胆管を通って胆汁が流れます。肝細胞が壊れると、細胞に含まれていた様々な物質が放出され、血液検査でASTやALTの上昇として捉えられます。胆管細胞が壊れた場合は血液中のALPやγGTPが上昇します。
肝細胞・胆管細胞の他にも肝臓の中には免疫に働く細胞なども存在しています。
肝臓のはたらき
| 代謝 | 小腸から吸収した糖・たんぱく質・脂肪を分解・貯蔵し、必要なときにエネルギーのもととして供給します。 |
|---|---|
| 解毒 | 薬やアルコール、アンモニア、老廃物などの物質を分解し、からだに影響をおよぼさないように無毒化します。 |
| 胆汁の生成 | 胆汁を生成・分泌します。胆汁は、脂肪の消化吸収を助ける消化液ですが、老廃物を腸に流す役割もあります。 |
肝臓の病気
肝機能障害
肝機能障害は主に検診などで指摘されることが多い異常です。AST、ALT、ALP、γGTPが上昇していると『肝機能障害』と言われます。ASTとALTは主に肝細胞、ALPとγGTPは主に胆管細胞が障害された時に上昇します。ASTは肝細胞の他に心筋細胞や赤血球、ALPは骨や小腸の細胞にも含まれているため、肝臓以外の障害でも上昇することがあります。
肝機能障害を起こす原因には様々なものがあります。
- ウイルス性肝炎(A、B、C、E型肝炎)
- 脂肪肝
- 自己免疫性肝炎
- 原発性胆汁性胆管炎
- 原発性硬化性胆管炎
- アルコール性肝障害
- 伝染性単核球症
- 薬物性肝障害
- 肝細胞癌
- 化膿性胆管炎
などです。当サイトではこのうち主なものを解説していますのでご覧ください。
B型肝炎
現在わが国でB型肝炎ウイルス(HBV)に感染している人は約130万人と言われています。感染の原因として、以前はHBVに感染した母親から生まれる際に感染する母子感染が多くを占めていましたが、1986年からは感染防止のためのワクチンが導入されており現在では母子感染はほとんどありません。ほとんどがHBVに感染している人からの血液や性交渉を介しての感染となっています。
母子感染などで幼少期にHBVに感染した場合、ウイルスは増えますが免疫が発達していないため肝炎はほとんどおこりません。この状態を『無症候性キャリア』と呼びます。10〜30歳になるとHBVに対する免疫反応が活発となり、肝炎が起こります。時々強い免疫反応が引き起こされ、ALTが400を超えるような強い肝炎が起こることもあります。このような肝炎を繰り返すうちに、HBe抗原が消失しHBe抗体が出現するとともにウイルスの量も減少して肝炎が沈静化します。
B型慢性肝炎の 治療には肝臓の炎症を抑える『肝庇護療法』とウイルスそのものを抑える『抗ウイルス治療』があります。
抗ウイルス治療に用いる薬剤にはインターフェロンと核酸アナログ製剤の2種類があり、それぞれ特徴があるため患者さんの年齢・肝炎の状態などにより使い分けます。
C型肝炎
C型肝炎ウイルス(HCV)は1989年に発見されました。わが国では約200万人の感染者がいると推測されています。HCVは感染力が弱いので、性交渉や体液で感染することはほとんどありません。現在では注射針の使い回し、刺青などによる感染がほとんどです。検査体制が整う前は輸血や血液製剤による感染もありました。
HCVが感染すると自然に治るのは約3割で、残りの7割は慢性肝炎となり、次第に肝硬変へと進行し、肝細胞癌を発症します。慢性肝炎の状態では症状がないため、なかなか診断する機会がありません。血液検査で肝機能障害があった場合に精密検査でC型肝炎と診断されたり、検診でHCV抗体陽性を指摘されて診断されることが多いです。
C型肝炎と診断されたら、肝硬変・肝細胞癌への進行を防ぐために治療が必要です。C型肝炎の治療といえば、数年前まではインターフェロンという薬を使うものが主流でした。この薬は非常に副作用が強く、患者さんもしんどい思いをして半年間の治療を受けられていましたが、それでもウイルスが排除される確率は80-90%でした。最近では副作用が少なく治療期間も短い飲み薬による治療が登場しており、C型肝炎は治る病気となっています。ですのでC型肝炎に感染していないかを一度検査し、感染している場合は治療をお勧めします。
治療によりウイルスが排除されると肝臓癌ができる確率はとても低くなります。しかし完全にゼロになる訳ではありませんので、治療後も定期的に超音波検査や血液検査を受けることが大切です。
脂肪肝
脂肪肝とは肝臓に中性脂肪が貯まった状態を指します。アルコールの摂取量により、アルコール性脂肪肝と非アルコール性脂肪肝に分けられます。それ以外にも薬剤によるもの、摂食障害によるもの、妊娠によるものなどがあります。
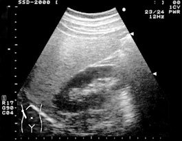
通常脂肪肝は脂肪が貯まるだけでは症状もなく、肝機能に異常は現れませんが、肥満・高脂血症・糖尿病などの生活習慣病を持つ人に多く認められます。脂肪肝になると、超音波検査で肝臓は図のように白く見えるようになります。脂肪肝に加え肝臓に炎症が生じると『脂肪性肝炎』という状態となり、AST/ALT/γGTPなどの肝機能に異常が現れるようになります。脂肪性肝炎の状態が持続すると肝硬変に進展することもあります。ですので脂肪性肝炎の状態となった場合には治療が必要となります。
治療としては、アルコール性によるものであれば禁酒が原則です。肥満や糖尿病など生活習慣病に伴うものの場合は、食事療法などの食生活改善が基本となります。
脂肪肝といっても肝硬変に進行する場合がありますので、定期的に受診し血液検査・超音波検査により肝臓の状態を把握することが大切です。
自己免疫性肝炎
自己免疫性肝炎は免疫の異常により肝臓に炎症が起こる病気です。患者さんの多くは中年以降の女性です。ウイルス性、アルコール性、薬物性などの原因がない方に肝障害が見られた場合、血液検査で抗核抗体陽性、IgG上昇といった免疫関連の異常があると自己免疫性肝炎の可能性があります。最終的には肝臓に針を刺して肝臓の組織をとり顕微鏡で見る、肝生検という方法により診断します。
この病気は通常自覚症状はなく、検診などの血液検査で肝機能異常を指摘されて調べてみたら自己免疫性肝炎であったということが多いです。急性肝炎のような、倦怠感・黄疸・食欲不振などの症状が見られることもあります。また、肝硬変に進行した状態で発見される場合もあります。
治療の基本は免疫を抑えるため、副腎皮質ステロイドを内服します。初めは多くの量を内服し、徐々に量を減らしていきます。ステロイドを中止すると肝炎が再燃することが多いので、通常少量の内服を長期間継続します。ステロイドは副作用が多い薬ですので、定期的に副作用の有無を検査したり予防の薬を内服することが大切です。
原発性胆汁性胆管炎
肝臓の働きには胆汁という消化液を作り、分泌するというものがあります。肝細胞で作られた胆汁は胆管と呼ばれる細い管を通って流れます。肝臓の中のとても細い胆管に炎症が起こり壊れる病気が原発性胆汁性胆管炎です。胆管が壊れるため胆汁の流れが滞り(胆汁鬱滞といいます)、血液検査ではALPやγGTPといった胆汁に多く含まれる酵素が高い値を示します。また血液中に抗ミトコンドリア抗体というものが認められます。この病気は以前は肝硬変の状態に進行してようやく診断されたため『原発性胆汁性肝硬変』と呼ばれていましたが、現在では症状のない状態でも診断できるようになったため病名が変更されました。病名の英語表記である”primary biliary cholangitis”の頭文字をとって、”PBC”と呼ばれます。
PBCは中年以降の女性に多く見られます。皮膚のかゆみ、黄疸、食道胃静脈瘤、腹水などの症状を示す症候性PBCと、症状の見られない無症候性PBCに分けられます。症候性PBCはPBC全体の20%程度を占めます。
確定診断には肝生検による組織診断が重要です。血液検査の結果と組織検査の結果を総合して判断します。
治療にはウルソデオキシコール酸という薬を使います。効果が不十分な場合は高脂血症の薬であるベザフィブラートを使うこともあります。肝硬変が進行する例では肝移植が行われます。
アルコール性肝障害
アルコール性肝障害とは、長期(通常は5年以上)にわたる過剰の飲酒が主な原因と考えられる肝障害の総称で、軽度の脂肪肝から肝硬変まで幅広い状態が含まれます。過剰の飲酒とは1日平均純エタノール60g以上の飲酒量を指します。これは日本酒3合、ビール中瓶3本、ウイスキーダブル3杯、焼酎1.8合に相当します。女性や遺伝的にお酒に弱い人ではより少ない量の飲酒でも、アルコール性肝障害が起こります。アルコール性肝障害では禁酒によりAST、ALT、γGTPの値が明らかに改善します。B型肝炎やC型肝炎などのウイルスマーカー陽性、抗核抗体陽性などの場合、通常はアルコール性肝障害からは除外されますが、合併する場合もありますので慎重に判断する必要があります。例えばウイルス陽性でも禁酒により肝機能が改善する場合はウイルス性+アルコール性として判定します。
アルコール性肝障害には
- アルコール性脂肪肝
- アルコール性肝線維症
- アルコール性肝炎
- アルコール性肝硬変
- アルコール性肝癌
の多彩な病型があります。
治療の基本は禁酒です。アルコール依存症を伴うこともあり、断酒が難しい方が多く見られます。その場合は精神科受診や断酒会への参加が必要となります。
アルコール性肝障害診断基準 https://www.kanen.ncgm.go.jp/cont/010/sankou.html
